PRZEMIANA ŻYCIA: Polski student medycyny wynalazł unikalny środek, który może całkowicie wyeliminować problemy z koślawością! Bez operacji!
- ZDROWIE
- SUPLEMENTY DIETY
- WITAMINY
- BÓL STAWÓW
- ZDROWE STAWY

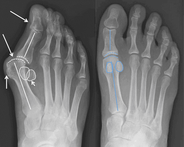
Czy to nie wszystko przed i po?
To Andrzej Królikowski, najlepszy student medycyny na Uniwersytecie Warszawskim.
Był w stanie całkowicie wyeliminować problemy ze stawami spowodowane koślawością - bez operacji!
Jego specjalnością medyczną jest reumatologia. Podczas pracy nad rozprawą doktorską natknął się na nową metodę leczenia koślawości, o której nikt wcześniej nie słyszał.
Aby upewnić się, że nie był to tylko zbieg okoliczności, poprosił swoją ciotkę Marię o przetestowanie.

Pani Maria pozbyła się bolesnej koślawości w ciągu 7 dni.
Sąsiad Andrzeja również wypróbował tę metodę:

González consiguió curar el valgo de segundo grado en 10 días.
A jeden z uczestników jego badań dyplomowych, Marcib, uzyskał znakomite wyniki:

Marcin wyleczył palucha koślawego metodą Andrzeja Dodał także +5 cm do swojego wzrostu.
Nawet nauczyciele i profesorowie Andrzeja byli zszokowani jego nową metodą.

Oświadczył to przed społecznością naukową:
"Mogę przekonać każdego, by zobaczył podobne wyniki. Jeśli cierpicie na koślawość... MOŻECIE w pełni wyzdrowieć. Nie wymaga to operacji ani innych zabiegów. Dzięki temu wyjątkowemu rozwiązaniu.
Jego wykładowcy i koledzy byli zszokowani. Wszystko wydawało im się niewiarygodne.
Abdrzej udowodnił, że się mylili.
Porozmawiajmy szczegółowo o środku opracowanym przez Andrzeja.
Jak Andrzej dokonał tego odkrycia?
Andrzej odkrył to rewolucyjne rozwiązanie na koślawość podczas drugiego roku studiów na Uniwersytecie Medycznym w Warszawie.
Z powodu wrodzonych problemów z koślawością, które pogorszyły się w wyniku ciężkiej nauki i braku pieniędzy na niezbędne leczenie, odczuwał coraz większy ból w nogach. Jako przyszły reumatolog chciał wynaleźć produkt, który pomógłby jemu samemu i wszystkim osobom cierpiącym na choroby stawów.

Ponieważ poruszał się na wózku inwalidzkim, jego życie osobiste także nie układało się najlepiej...
"Pewnego dnia szukał materiałów do swoich studiów w dziale rzadkich książek w bibliotece uniwersyteckiej.
Natknął się na starą książkę opisującą interesujące, ale dawno zapomniane badania: "Metoda odzyskiwania i leczenia koślawości".

Będąc na wózku inwalidzkim, Andrzej wiedział, że musi coś z tym zrobić".
Nowa metoda leczenia palucha koślawego
Musiałem zastosować tę nową metodę leczenia palucha koślawego.
Początkowo próbował stworzyć niezbędny środek zaradczy za pomocą improwizowanych środków, mieszając siarczany i witaminy. Niestety, wynik nie spełnił oczekiwań, a bez specjalnego sprzętu było to trudne i bardzo kosztowne.

Ale szło to w dobrym kierunku i ta metoda się rozwijała.
Na szczęście miał dostęp do laboratorium Warszawskiej Uczelni Medycznej, co pozwoliło mu eksperymentować z tą metodą.
Metoda przywracania stawów po koślawości była prosta; laboratorium posiadało wszystkie niezbędne składniki.
Po miesiącach prób i błędów
...Andrzejowi udało się połączyć idealne połączenie składników.
Wszystko to było konieczne, aby przetestować tę metodę pozbycia się koślawości.
Andrzej przetestował swoje badania na sobie. Po pierwszym dniu leczenia poczuł się lepiej. Preparat zaczął przynosić zaskakujące rezultaty
Drugiego dnia był już w stanie samodzielnie stać.
Tydzień później przeszedł tylko 20 metrów.
W końcu, po 14 dniach, zaczął biegać na stadionie i wrócił do jazdy na nartach.

W ciągu zaledwie 14 dni odzyskał pełną mobilność.
Jak działa ta metoda, aby pozbyć się koślawości?
W naszym organizmie występuje jedna substancja: glukozamina, która przyczynia się do zdrowia stawów i zapobiega rozwojowi koślawości.
Glukozamina jest materiałem budulcowym chrząstek, ścięgien i więzadeł. Składnik ten zwiększa elastyczność stawów, ogranicza niszczenie chrząstki, zwiększa mobilność i łagodzi objawy bólowe.

Moja metoda poprawia syntezę glukozaminy, pomaga lepiej i szybciej przyswajać tę substancję. Prowadzi to do skrócenia czasu potrzebnego do odbudowy tkanki chrzęstnej, a w konsekwencji tkanki stawowej.
Badania, które znalazłem w książce, mówiły o pierwszych eksperymentach w latach 80-tych. Jeden z pacjentów, który zastosował terapię był w stanie pozbyć się koślawości w ciągu 10 dni.
"Ale społeczność naukowa w tamtym czasie była przerażona; nie była przygotowana na takie wyniki.
Ponieważ obawiano się odpowiedzialności, eksperyment został ukryty i wkrótce zapomniany".
Ale teraz i Ty możesz pozbyć się koślawości w zaledwie kilka dni.
... Co zrobić w przypadku zaawansowanych problemów z koślawością?
Bez obaw.
Nawet jeśli masz duże problemy, nawet jeśli borykasz się z nimi od wielu lat.
Nowa metoda eliminacji koślawości może łatwo rozwiązać tę sytuację.
Na przykład Roman, 62 lata.
Przez ostatnie pięć lat zmagał się ze schorzeniami nóg. Ale po wypróbowaniu tej metody może jeździć na rowerze, chodzić na długie dystanse i wchodzić po schodach.
Zapomniał o wszystkich swoich problemach.
Zobacz, jak Roman jeździ na rowerze:

Jest też 50-letnia Grażyna, która ma troje wnucząt i chce spędzać z nimi więcej czasu.
W ciągu zaledwie siedmiu dni udało mu się pozbyć bólu spowodowanego koślawością. A teraz, zdrowa i szczęśliwa, bawi się ze swoimi wnukami.

No i jest jeszcze 49-letni Łukasz, któremu nogi zaczęły dokuczać po 40 latach.
Nie uwierzycie! Ale po zastosowaniu naszej metody przypomniał sobie, jak to jest znowu grać w piłkę nożną.

Wyobraź sobie, że znów możesz dużo chodzić, uprawiać sport, wchodzić po schodach i nie potrzebujesz pomocy z zewnątrz. Albo jak to jest czuć się tak zdrowym, jak w młodości.
Nowa metoda na pozbycie się koślawości może spełnić wszystkie marzenia o aktywnym życiu.
Problemy związane z paluchem koślawym to nie twoja wina.
Andrzej zawsze zastanawiał się, dlaczego jego wykładowca nalega na potencjalnie niebezpieczne i drogie środki i terapie.
Gdy zagłębił się w swoje badania, odkrył szokującą wiadomość.
Mafia farmaceutyczna i reumatolodzy na całym świecie ukrywają istnienie lepszych środków, jak tylko mogą, ponieważ bardziej opłaca się sprzedawać produkt, który tymczasowo przynosi ulgę, ale nie leczy całkowicie!
Ale teraz...
Jest to jedyny środek, którego będziesz potrzebować.
Nigdy więcej nie będziesz potrzebować kremu, zastrzyku ani zabiegu chirurgicznego.
Dlaczego?
Kiedy Andrzej dowiedział się o tej nowej terapii, musiał opracować sposób, w jaki ludzie mogliby z niej korzystać w codziennym życiu.
Jego badania doprowadziły go do odkrycia tajnego składnika.
Ten komponent sprawia, że nowa metoda terapii koślawości jest dostępna dla szerokiej grupy odbiorców.
I może pomóc pozbyć się koślawości!
% wyleczonych pacjentów
- - Osoby stosujące tradycyjne metody leczenia stawów
- - Ochotnicy, którzy testowali nową metodę terapeutyczną
13% |
97% |
Uzyskasz nie tylko krótkoterminowe wyniki.
Zastanawiasz się, gdzie znaleźć ten środek?
...nie znajdziesz Artisan w aptekach ponieważ Andrzej dopiero co opracował tę formułę. Jest zatem bardzo prawdopodobne, że lekarz nigdy nie wspomniał ci o tym sprayu.
Od teraz możesz prowadzić aktywne życie.
Andrzej i jego zespół właśnie stworzyli pierwsze partie tego sprayu.
Ale lepiej się pospieszyć, ponieważ te zapasy wyprzedają się SZYBKO:

Czy możesz sobie wyobrazić, że mógłbyś zdobyć ten spray, zanim skończy się obecna partia?
Możesz zapomnieć, czym jest koślawość i problemy z poruszaniem się.
Każdy rodzaj aktywności fizycznej można wykonywać w każdym wieku.
...i nie przejmować się koślawością.
Będziesz szczęśliwszy.
Ale dlaczego Andrzej chce produkować ten spray?
Andrzej chce, aby inni odnieśli taki sam sukces.
Chce tylko pomóc ludziom leczyć się tak jak on. Jest to jego życiowy cel jako przyszłego lekarza specjalizującego się w pozbywaniu się koślawości.
Musiał znaleźć coś, co posłuży mu do końca życia.
Wkrótce i Ty zobaczysz rezultaty kuracji, jakich nigdy wcześniej nie widziałeś.
To się nie sprawdza.
Żadnych maści ani drogich zastrzyków.
Wyobraź sobie, że nie odczuwasz bólu i poruszasz się bez dyskomfortu.
Czym jest ten składnik?

Są to witaminy E i B3.
Pomagają lepiej i szybciej wchłaniać glukozaminę, którą otrzymujemy z pożywienia, aby odbudować stawy i zapobiegać koślawości.
W tkance chrzęstnej glukozamina jest przekształcana w substancje potrzebne stawom.
Witaminy E i B3 mają pozytywny wpływ na cały organizm.
Witaminy E i B3 nie tylko poprawiają wchłanianie glukozaminy, ale także zwiększają jej ilość w organizmie.
Pomaga to organizmowi zawsze mieć odpowiednią ilość substancji dostępnych dla zdrowia stawów i zapobiegania koślawości.
...i który jest najlepszy?
Aby uzyskać doskonałe wyniki, nie ma potrzeby kupowania drogich maści ani wykonywania operacji.
Spójrz na ten test przeprowadzony na dwóch pacjentach.
Andrzej polecił jednej kobiecie stosowanie maści aptecznej przez miesiąc, a innej sprayu Artisan z witaminami E i B3.
Kobieta, która była leczona maścią apteczną, nie wyeliminowała bólu:

Jednak kobieta, która używała sprayu Artisan...
... całkowicie pozbyła się koślawości i może teraz nosić obcasy.

Jeden z nielicznych wykładowców, który docenił osiągnięcia Andrzeja, powiedział:

"Ten Artisan jest rewolucyjny. Łatwy w użyciu. Uzyskasz najszybsze rezultaty terapeutyczne bez operacji i drogich maści. Nie ma również skutków ubocznych. Gorąco polecam.
Pożegnaj się z farmaceutycznymi maściami, zastrzykami i zabiegami chirurgicznymi...
...łatwiejsza i bardziej przyjemna terapia jest już dostępna.
Możesz jednak zastanawiać się, jak to zrobić w codziennym życiu.
To bardzo proste.
Ponieważ...
Oto najprostszy sposób na pozbycie się koślawości
Dlaczego jest to najłatwiejszy sposób na pozbycie się koślawości?
Wystarczy stosować spray dwa lub trzy razy dziennie. Ty również możesz odzyskać zdrowie w ciągu około dwóch tygodni.
Nie ma potrzeby przeprowadzania operacji ani stosowania drogich maści.
Bez bolesnych zastrzyków.
Żadnych forsownych masaży.
Nie wierzysz w to?
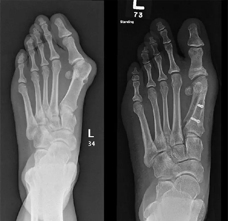
Zobacz, jak Maria wyleczyła koślawość w 7 dni:

Przez długi czas odczuwałam silny ból stóp. W rezultacie wystąpiły trudności w poruszaniu się. Poszłam do specjalisty i zdiagnozowano u mnie paluch koślawy. Zaproponowali mi operację stóp, ale za bardzo bałam się zabiegu. Na szczęście poznałam Andrzeja i zaczęłam używać Artisan. Po trzech dniach ból całkowicie ustąpił, a tydzień później chodziłem bez bólu i zaczęłam uprawiać nordic walking. Zdjęcie pokazuje moje postępy."
A oto wyniki Artisan po 10 dniach:

Damian: "Miałem problemy związane ze stopą. Niczego nie brałem ... Poszedłem do specjalisty, stosowałem maści i środki ludowe... Nic nie pomogło. Zaufałem Andrzejowi, wziąłem udział w eksperymencie. Po 2 tygodniach po problemie nie było śladu! Oto mój wynik. Dziękuję Andrzejowi".
Wyobraź sobie, że możesz cieszyć się życiem bez bólu. I nie narażaj się na operacje, igły, zastrzyki...
... do aktywnego stylu życia.
Chodzenie, spacerowanie, jazda na rowerze - możesz robić to wszystko.
Ponieważ masz zdrowe stawy i nie masz koślawości.

Tak szybkie przywrócenie stawów i pozbycie się koślawości jest świetne.
Ale czy istnieje ryzyko nawrotu bólu?
Nie, nie ma ryzyka nawrotu problemów z koślawością.
Halina zmagała się z koślawością przez kilka lat. Używała wszelkiego rodzaju maści i stosowała różne metody leczenia.
Nic nie mogło wyleczyć koślawego palucha.
Jednak kiedy zdecydowała się wziąć udział w testach Andrzeja, udało jej się pozbyć koślawości w ciągu pięciu dni i wróciła do pływania:

A po sześciu miesiącach.
Halina zapomniała już, czym jest ból i dyskomfort w stopie.
Grzegorz, inny ochotnik, który wypróbował produkt Andrzeja, wyzdrowiał dwa tygodnie po rozpoczęciu leczenia:
"Po wyleczeniu stawów i pozbyciu się koślawości nie zmieniałem niczego przez sześć miesięcy i wiecie co? Ból stawów i stóp nie powrócił".
Oto zdjęcie Grzegorza:

Pewnie zastanawiacie się...
Czy Artisan jest bezpieczny?
Artisan jest bardzo bezpieczny, ponieważ zawiera dobrze przebadane witaminy, które Andrzej odkrył podczas swoich badań.
Żadnych skutków ubocznych.
I zobacz, co niektórzy z tych pacjentów mieli do powiedzenia:

"Byłam sceptycznie nastawiony do sprayu Artisan... ponieważ tradycyjne produkty sprawiały, że czułem
się niekomfortowo. Ale moje ciało dobrze przyjmowało środek i byłam w stanie odzyskać sprawność stawów i
pozbyć się koślawości w ciągu tygodnia.'
- Magdalena Rozwałka

"Spray Artisan pomógł mi pozbyć się bólu w ciele i nie miałem żadnych skutków
ubocznych.'
- Roman
Por lo tanto, si aún tiene dudas sobre si utilizar Artisan, no tiene de qué preocuparse.
Wyobraź sobie zdrowe, wolne od koślawości stawy bez żadnego wysiłku.
Najważniejsze pytanie...
Jak uzyskać Artisan?
Cóż, dziś jest twój szczęśliwy dzień.
Andrzej w końcu otrzymał zgodę od swojego zespołu i inwestorów na wprowadzenie Artisan na rynek.
Spray Artisan:

Każde opakowanie Artisan zawiera odpowiednią ilość witamin E i B3, które leczą stawy.
Zespół Andrzeja zainwestował miliony dolarów w dystrybucję Artisan.
Opakowanie sprayu kosztuje ok. 7.96 PLN.
A jednak... nie tyle płaci się dziś za paczkę Artisan.
Do faktycznej ceny przejdziemy za chwilę, ale najpierw....
Co ludzie myślą o Artisan?

Słyszałam o sukcesie testów Andrzeja, ale myślałam, że to zbyt piękne, by mogło być prawdziwe.
Cóż... 5 dni później mój ból stawów zniknął, a sześć miesięcy później byłam
całkowicie wolna od koślawości. Dziękuję tym którzy stworzyli Artisan'.
- Teresa Gryta

Warto spróbować. Wyleczyłam stopy w ciągu pięciu dni.'
- Dorota.

" Byłam zaskoczona, kiedy moja przyjaciółka poleciła mi Artisan. W
ciągu 10 dni udało mi się pozbyć problemów ze stopą. To było coś niesamowitego"
- Regina,
Bełchatów

" Pozbyłam się palucha koślawego 2 stopnia w 2 tygodnie! Przestałam cierpieć, kiedy zaczęłam używać Artisan. Gorąco polecam".
- Weronika Rabczuk
Andrzej zrobił kawał dobrej roboty, ponieważ zależy mu na pacjentach
Wie, co oznaczają problemy ze stawami i paluch koślawy.
A teraz, gdy ma idealną formułę produktu pragnie, aby jak najwięcej osób mogło otrzymać. Artisan.
To prawda, że konkurenci Andrzeja nie chcą, aby to robił, ale Andrzej chce po prostu pomóc ludziom być zdrowymi...
... tak jak on pozbył się koślawości w pięć dni.
Zamiast płacić 7.96 PLN za opakowanie Artisan, Andrzej uruchomił ograniczoną czasowo promocję.
Teraz organizujemy konkurs, w którym możesz wziąć udział i uzyskać 99% zniżki na Artisan.
Jeśli nadal masz wątpliwości...
Co masz do stracenia?
Masz dwie możliwości.
Wybór nr 1... zdecydować, że produkt Artisan nie jest dla Ciebie.
Możesz opuścić tę stronę i żyć dalej z problemem . I nadal odczuwać ten sam ból, który powoduje złe samopoczucie. I marzyć o zdrowych stawach i wolności od koślawości.
Nie ma w tym nic złego.
Lub... opcja nr 2... możesz przejąć kontrolę nad swoim życiem i otrzymać paczkę Artisan...
... i pozbyć się koślawości w siedem dni.
Wybór należy do Ciebie.
Jeśli jesteś gotowy, aby rozpocząć leczenie już dziś, wybierz jedne z poniższych drzwi i uzyskaj do 99% zniżki na opakowanie Artisan.
( Weź udział w losowaniu, aby otrzymać produkt promocyjny)
Uwaga: Andrzej i jego pacjenci używali Artisan, aby pozbyć się koślawości.

Aktualizacja zapasów Artisan: Opakowania Artisan są nadal dostępne od dnia
JAKIE PREPARATY DZIAŁAJĄ W TWOIM PRZYPADKU?
Weź udział w promocji i otrzymaj zniżkę na zakup "Artisan" nawet do 99% taniej.
ZGADNIJ, ZA KTÓRYMI DRZWIAMI JEST 99% ZNIŻKI?

Agnieszka
Ten produkt jest cudowny!!!! Też chcę go kupić, naprawdę chcę przywrócić moje stawy i pozbyć się koślawości i chodzić po górach!
Robert
Z wiekiem rozwinęła się u mnie deformacja palucha koślawego stopy. Na początku guzek tylko rósł, a potem zaczęły się straszne bóle. To samo stało się z moim ojcem, bardzo cierpiał. Poszedłem do lekarza i powiedział mi, że tylko operacja może mi pomóc. Ale moja żona znalazła opinie o Artisan na kilku stronach i zdecydowała się zamówić. Zacząłem go używać i w ciągu trzech dni mój ból zniknął. W ciągu dwóch tygodni kostka zniknęła! I mogłem normalnie chodzić! Spójrzcie na moje wyniki!
Grażyna
Kiedy zaczęłam stosować Artisan, miałam już wtórną chorobę zwyrodnieniową stawów kolanowych i koślawość. Stały dyskomfort, okresowy ból, sporadyczny obrzęk. Po pięciu dniach zauważyłam znaczną poprawę. Stopniowo nie tylko kolano i koślawość przestały mi dokuczać, ale byłem w stanie się poruszać. Za radą specjalisty odbyłem sześciomiesięczne leczenie profilaktyczne. Nie wywołuje skutków ubocznych i dobrze współgra z innymi lekami.
Regina
Niestety, otrzymałem w spadku kostki (guzki) na stopach. Wcześniej nie zwracałam na nie uwagi, nie przeszkadzały mi zbytnio. Ale dwa lata temu, kiedy skończyłam 46 lat, zaczęły mi przeszkadzać. Moje stopy były bardzo zmęczone, kości zaczerwienione i strasznie bolały. To było nie do zniesienia, więc postanowiłam leczyć stopy domowymi sposobami. Przez sześć miesięcy starałam się jak mogłam, ale na próżno. Znalazłam informację, że możliwe jest usunięcie kości za pomocą Artisan. Czytałam wiele opinii na temat tego produktu. Bałam się, ale i tak to zrobiłam. Ogólnie rzecz biorąc, produkt jest zadowalający. Nie żałuję, że ją zamówiłam. Nawiasem mówiąc, miesiąc później znów nosiłam szpilki, 7-centymetrowe obcasy. Moje nogi nie są tak zmęczone jak wcześniej, kiedy były chore. Po dwóch miesiącach moje nogi wyglądają tak:
Daniel
W ciągu ostatnich sześciu miesięcy moja mama bardzo martwiła się bólem stawów, zwłaszcza palucha koślawego. Opuchła, nie mogła chodzić ani nic robić, ból był silny. Koślawość palucha zdiagnozowano u niej sześć lat temu i początkowo była leczona dwa razy w roku. Były czasy, kiedy nigdy na nic nie narzekała. Jednak z roku na rok sytuacja stawała się coraz gorsza. Było to szczególnie widoczne w okresie jesienno-zimowym. Z roku na rok zaostrzenia stawały się coraz bardziej bolesne. Pojechała do swojego lekarza. Który skierował do reumatologa. Ale tym razem było jeszcze gorzej. Obrzęk stawów i koślawość nie ustępowały, ból był stały, tylko nieznacznie ustępował po zastrzykach i tabletkach.
Damian
Niesamowite wyniki! Muszę też kupić, gdzie najlepiej zamówić?
Sławomir
Pod komentarzami znajduje się link do zamówienia. Teraz mają promocję, można zamówić z 99% rabatem.
Paweł
Na co czekasz, złóż zamówienie i rozpocznij kurację z Artisan! onieważ oferują promocję, możesz wypróbować ją przed zakupem pełnej kuracji, aby się upewnić.
Adam
Próbowałem innych środków, masaży i zastrzyków, które działały, ale tylko przez krótki czas i w końcu ból zawsze powracał. Kosztowało mnie to dużo pieniędzy, czasu i wysiłku. Ale dzięki Artisan ból stawów i koślawości zniknął szybko i już nie powrócił. Najpierw zamówiłem próbkę ze zniżką i już pierwszego dnia zdałem sobie sprawę, że ten produkt naprawdę działa. Następnie zamówiłem pełną kurację, która była bardzo przystępna cenowo. Każdy powinien spróbować.
Edyta
Już kupione. Niska cena, szybka dostawa. Zobaczcie mój wynik. Zdjęcia przed/po
Karolina
Doskonały wynik!
Sandra
Najważniejsze zmiany zachodzą wewnątrz nas. Najpierw poprawia się zdrowie fizyczne, a następnie zdrowie emocjonalne, a potem człowiek czuje się szczęśliwszy niż kiedykolwiek!
Weronika
Całkowicie się z tym zgadzam. Odkąd zaczęłam używać tego produktu czuję się znacznie lepiej. Najlepszą rzeczą w tym środku jest to, że koślawość znika bez wysiłku, jest to takie łatwe i wygodne!
Martyna
Latem noszę, ponieważ noszę otwarte buty, w ogóle mi to nie przeszkadza. Od jesieni do wiosny stawy stają się coraz bardziej zaognione. I nawet jeśli buty nie są ciasne, wcale nie są lepsze. Zawsze miałam problemy z paluchem koślawym. Każdy nowy but lub zmiana obuwia na sezon powoduje zapalenie guzków i powstawanie dużych, bolesnych odcisków. Nie sądzę, aby ten produkt mi pomógł
Tomasz
Potwierdzam! Artisan działa bardzo dobrze przy każdej chorobie stawów i koślawości. Od pierwszych dni widać, że produkt działa. Mogę znów bawić się z moim ukochanym wnukiem.
Ewelina
Niewiarygodne! Andrzej, dobrzeże piszesz nam o takim sprayu. Problem ten dotyczy niestety wielu ...
Katarzyna
Mam 53 lata, czy uważacie, że to pomoże w moim wieku z koślawością?
Natalia
Warto spróbować. W każdym razie jest to zdecydowanie najlepszy ze wszystkich produktów, które wypróbowałam.
Jowita
Moja babcia ma palucha koślawego i lekarze przepisali jej środki, które są kategorycznie przeciwwskazane. Dlatego zwróciliśmy się o pomoc do wiodącego specjalisty w leczeniu stawów i palucha koślawego. Polecił nam Artisan wyjaśnił, że ten produkt ma łagodniejsze składniki, a jego działanie jest dłuższe i bardziej stabilne. Na początku byłam zaskoczona ceną, pomyślałam, że za tak niską cenę to nie może być super środek, ale babcia kazała mi go zamówić, i tak nie było nic do stracenia. Kiedy otrzymaliśmy paczkę i moja babcia zaczęła go używać, zdałam sobie sprawę, jak bardzo się myliłam Artisan bardzo mi pomógł, ból zniknął, opuchlizna zeszła. I to zaledwie po trzech dniach stosowania.
Małgorzata
Niesamowity spray! Podobało mi się, że jest promocja. Jeśli z jakiegoś powodu nie podpasuje, nic to nie kosztuje. Dzielę się swoimi postępami.
Mariusz
Jak długo trzeba czekać na paczkę?
Małgorzata
Około 5 dni
Ela
Nie mogę uwierzyć, że w Polsce można wreszcie zamówić Artisan,i to w dodatku ze zniżką!
Grażyna
To nie jest choroba, ale swego rodzaju tortura. Mój przyjaciel pracuje cały czas na nogach w ciągu dnia i miał problemy. Za radą znajomych udaliśmy się do przychodni. Postawiono diagnozę: artroza stopy i koślawość. Na początku była przerażona, ale potem specjalista uspokoił ją, że nic nie jest stracone i poradził, aby zastosowała kurację Artisan. Efekt był widoczny już po kilku pierwszych zastosowaniach. Przynajmniej zaczął lepiej chodzić, nie martwi się już bólem. Jest zadowolony z terapii.
Paweł
Doskonały produkt. Warto przeczytać ten artykuł przed operacją stopy. Moja historia choroby byłastraszna, miałem zanik mięśni, a także dziwne odczucia w stawie.
Renata
Jestem bardzo zadowolona, że znalazłam Artisan. Jakość mojego życia znacznie się poprawiła. Znowu jestem szczęśliwą kobietą.... Dziękuję!
Zofia
Dzięki temu produktowi zaczęłam czuć się, jakbym miała 30 lat. Biegam, dużo bawię się z wnukami, znowu jeżdżę na rowerze i mam 53 lata).
Humbert
Zarówno moja żona, jak i ja ukończyliśmy kurację i wyleczyliśmy nasze stawy bez operacji, drogich maści i masaży. Ten spray jest fantastyczny i bardzo łatwy w użyciu.
Stefan
Po raz drugi uszkodziłem sobie nogę na stoku narciarskim. Miejscowi specjaliści stwierdzili, że to zwichnięcie i koślawość, a rezonans magnetyczny potwierdził diagnozę. Miałem szczęście, ponieważ od razu zalecono mi ten środek. Na początku wahałem się, ponieważ cena wydawała się niska, ale lekarz przekonał mnie, że to pomoże. I uwierzyłem, złożyłem zamówienie, produkt został szybko dostarczony. Wszystko było bardzo proste i jasne. W rezultacie za miesiąc wrócę do jazdy na snowboardzie i rowerze. Nie odczuwam już żadnego bólu ani dyskomfortu.
Danuta
W dzisiejszych czasach każdy może mieć zdrowe ciało i nie odczuwać bólu w stawach, a nie tylko kilka osób z dobrą genetyką i dużą ilością pieniędzy.
Agnieszka
Odzyskanie mobilności w kończynach dolnych zajęło mi tylko siedem dni. Najszybszy sposób na pozbycie się koślawości.
Katarzyna
Używam go od kilku tygodni i już widzę rezultaty. Diagnoza: choroba zwyrodnieniowa stawów palców. Ból się zmniejszył, mobilność wzrosła, ogólny stan jest lepszy. Na pewno zostawię recenzję po zakończeniu kuracji.
Krystyna
To takie proste, wystarczy używać sprayu dwa razy dziennie.
Agnieszka
Zamówcie kilka opakowań ze zniżką, a natychmiast zrozumiecie, o czym mówimy: najbardziej niezawodny i wolny od ryzyka sposób!